Page 8 - CELLULA
P. 8

Cellula


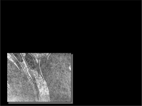
                          Reticolo endoplasmatico




                   Rete di sacchi appiattiti, tubuli e canali attacati tra di loro





                Rugoso: vi sono attaccati i ribosomi,  è collegato


                    allo  strato  esterno  della  membrana  nucleare,


                    interviene nella sintesi lipidi e proteine



                Liscio: proseguimento di quello rugoso





                                                                                     Potremmo                   paragonarlo                   a
                                                                                     quel  reparto  che  svolge  le


                                                                                     prime             lavorazioni:                  alcuni
                                                                                     prodotti,  ad  uso  interno,

                                                                                     possono  andare  già  bene

                                                                                     così  ma  altri  devono  essere

                                                                                     ancora  lavorati,  rifiniti  per

                                                                                     bene per poter essere spediti

                                                                                     ai        clienti;            questi            ultimi

                                                                                     vengono                     imballati                   in       

                                                                                     vescicole                     e            mandati

                                                                                     all'apparato di Golgi...
   3   4   5   6   7   8   9   10   11   12   13